Dental Implants

Missing teeth can significantly impact your oral health, self-confidence, and overall quality of life. We provide an excellent solution to bring out your beautiful smile: dental implants in East Dundee. Implants offer a permanent solution to restore your smile and improve your dental health. Dental implants are a popular and highly effective option for replacing missing teeth. They consist of small titanium posts surgically placed into the jawbone to act as artificial tooth roots. These posts fuse with the bone, providing a stable foundation for replacement teeth such as crowns, bridges, or dentures. And if you're looking for dental implants in Gilberts, Sleepy Hollow, Carpentersville, or West Dundee, we're just down the road!

Why Choose Dental Implants?

Dental implants offer numerous benefits over traditional tooth replacement options such as dentures or bridges. Some of the top reasons to choose dental implants include:

  • Improved appearance: Dental implants are custom-made to match the color, shape, and size of your natural teeth, giving you a seamless and natural-looking smile.
  • Enhanced comfort: As they become a part of your jawbone, dental implants feel and function just like natural teeth, making them much more comfortable than removable dentures.
  • Long-lasting: With proper care, dental implants can last a lifetime, making them a cost-effective and durable option for tooth replacement.
  • Preserve jawbone health: The underlying jawbone deteriorates when a tooth is lost. Dental implants prevent this process by stimulating bone growth and preserving the overall health of your jawbone.
  • No impact on adjacent teeth: Unlike bridges, dental implants do not require any support from adjacent teeth, so they won’t unnecessarily stress healthy teeth.
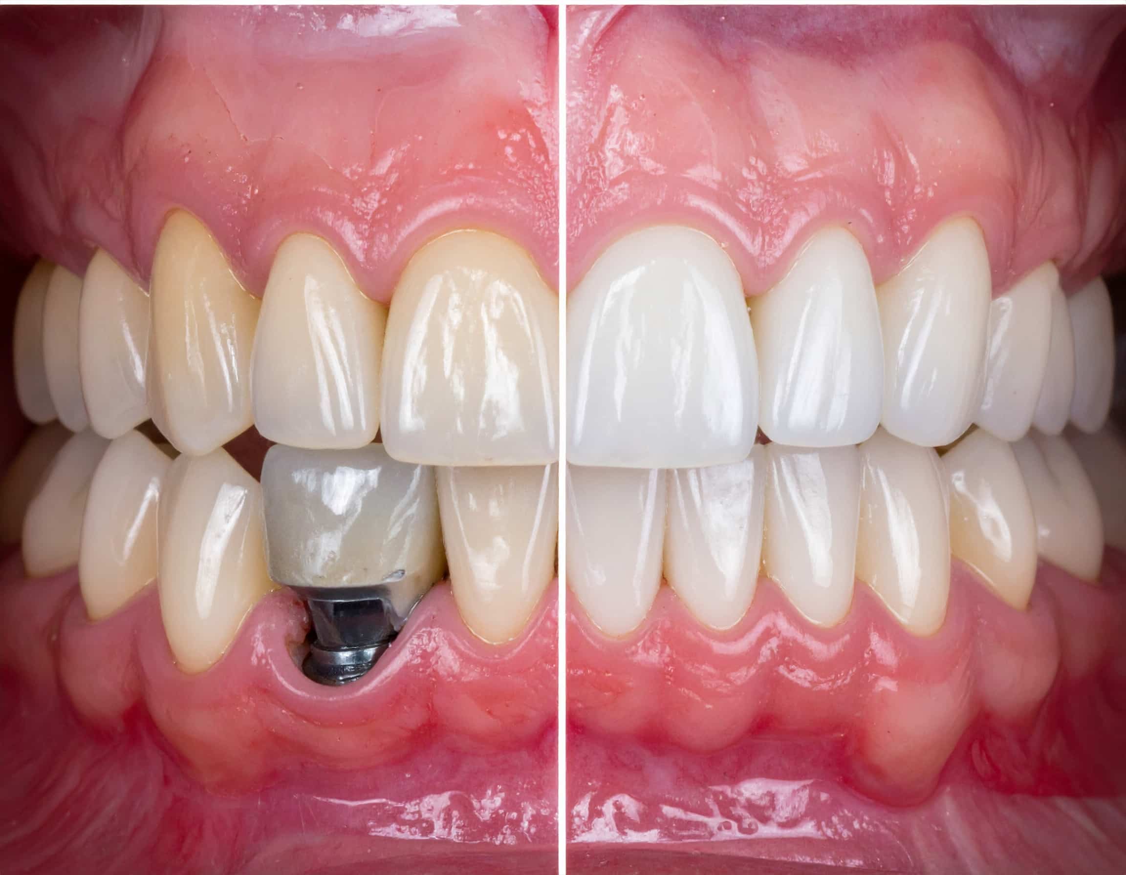
The Dental Implant Process

We offer a comprehensive dental implant process that includes: Initial consultation: During your first visit, Dr. Desai will thoroughly examine your teeth and gums to determine if you are a good candidate for dental implants. He will also discuss the process with you and answer any questions or concerns. The surgery: If you are deemed a suitable candidate, our team will schedule your implant surgery at a convenient time. The surgery is typically performed under local anesthesia and involves placing the titanium posts into your jawbone. Healing period: After the surgery, your gums and jawbone will need time to heal and allow the implant to fuse with the bone. This process can take anywhere from three to six months. Restoration: Once the implant fuses with the jawbone, a connector called an abutment is placed on top of the post. This will serve as the attachment point for your replacement tooth. Final restoration: Finally, we will place a custom-made crown, bridge, or denture on top of the abutment, completing your dental implant and restoring your smile.

Am I a Good Candidate for Dental Implants?

While most healthy adults are suitable candidates for dental implants, certain factors may affect your eligibility. These include:

  • Overall health: You should be healthy enough to undergo dental implant surgery. Certain medical conditions, such as diabetes or immune disorders, may impact the procedure’s success.
  • Sufficient jawbone density: As we place the implants into the jawbone, you need to have enough bone mass for them to fuse with. If you have lost significant bone density in your jaw, we may recommend a bone graft procedure before proceeding with dental implants.
  • Good oral health: Having healthy teeth and gums before dental implants is important. Before the surgery, we must address any existing issues, such as gum disease or tooth decay.

Aftercare for Dental Implants

Proper aftercare is crucial to ensure the success and longevity of your dental implants. Some tips to follow include:

  • Maintain good oral hygiene: Brush and floss regularly, just as you would with natural teeth. This will help prevent any complications, such as infection or implant failure.
  • Avoid hard foods: In the first few days after surgery, stick to a soft diet to allow your gums and jawbone to heal correctly. Avoid chewing on hard or sticky foods that can pressure the implants excessively.
  • Attend regular check-ups: We will schedule follow-up appointments to monitor the healing process and ensure everything is going smoothly. It is essential to attend these appointments and address any concerns as soon as possible.

Cost of Dental Implants

The cost of dental implants can vary depending on various factors, such as the number of teeth we replace and any additional procedures required. During your initial consultation, our team will provide a detailed breakdown of costs and discuss any available payment options.

Dental Implants in East Dundee, Gilberts, Sleepy Hollow, Carpentersville, West Dundee

and Beyond

With dental implants, you can enjoy all the benefits of a natural smile and maintain your oral health for years! Don't let missing teeth hold you back; contact us today to explore how dental implants can transform your smile. So why wait? Visit us at Main Street Dental, and let us give you the smile of your dreams. We are committed to helping you achieve a healthy, beautiful smile with our high-quality dental implants. Schedule your consultation today with Dr. Amish Desai and his team and take the first step towards restoring your confidence and oral health. See us also for our preventative, family, and cosmetic dentistry services in East Dundee, Illinois.