Many patients take great care of their teeth but don’t take great care of their gums. Dr. Amish Desai is a periodontist in East Dundee, IL, and provides services for patients with gum disease.
Gum disease, also known as periodontal disease, is a serious condition that can affect your oral health and overall health. Gum disease is one of the leading causes of tooth loss.
Main Street Dental is a general dentist office providing services for all ages in East Dundee, IL. Our dental team is experienced in all areas of dentistry, from preventive care to complex restorative treatments. We also offer various cosmetic services to help you achieve the beautiful smile you desire.
What is a Periodontist?
Periodontists are specialists in diagnosing, preventing, and treating gum disease. They receive extensive training in the latest techniques to treat gum disease and provide you with the best possible care.
Desai Periodontist in East Dundee
Dr. Desai became a dentist because he wanted to impact people’s lives positively and significantly. He loved the idea of using his hands to improve the health and comfort of people he could get to know and help for the rest of his life.
He received his Doctor of Dental Surgery degree from the University of Illinois College of Dentistry in 2001. He joined the International Congress of Oral Implantologists and became a fellow of the Illinois Academy of General Dentistry in 2014.
What is Gum Disease?
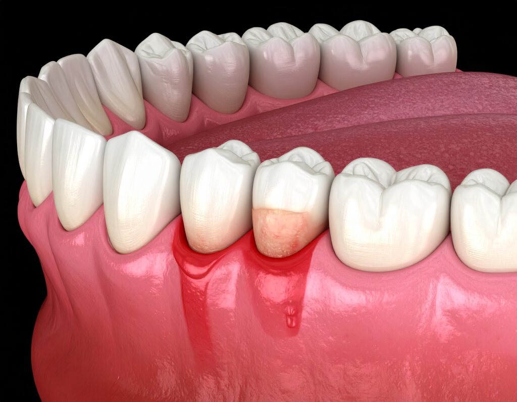
Gum disease is an inflammation of the gums that can damage the bone that supports your teeth. Gum disease is caused by plaque, a sticky film of bacteria that forms on your teeth. If you don’t remove plaque with regular brushing and flossing, it will harden into tartar, which you can only remove with special tools. The bacteria in plaque and tartar can cause inflammation of the gums, leading to gum disease.
Gingivitis is the earliest stage of gum disease and is marked by red, swollen gums that may bleed easily. If left untreated, gingivitis can progress to periodontitis. Periodontitis is a more severe gum disease that can cause tooth loss and other health problems.
Gum disease affects 47.2 percent of adults over 30 in the United States. Dr. Desai can effectively treat early symptoms of gum disease and other related dental concerns.
Symptoms of Gum Disease
Symptoms of gum disease include:
– Red, swollen, and tender gums
– Bleeding gums
– Gums that pull away from the teeth
– Bad breath
– Loose teeth
– Sensitive teeth
– Painful chewing
– Teeth that appear longer than they used to (receding gums)
If you experience any of these symptoms, don’t hesitate to contact our office for an appointment.
Preventing and Treating Gum Disease
There are several steps you can take to prevent and treat gum disease:
– Brush your teeth twice a day with a soft-bristled toothbrush.
– Floss your teeth every day.
– Use an antibacterial mouthwash to help reduce plaque and bacteria.
– Visit our office for a professional dental cleaning at least twice a year.
– Follow a healthy diet and avoid sugary snacks and drinks.
– Quit smoking if you smoke.
– See your dentist if you notice any changes in your gums or oral health.
If you have gum disease, our team can help you get it under control and improve your oral health. We offer various treatment options, depending on the severity of your gum disease. Treatment options include:
– Professional dental cleanings
– Scaling and root planing (deep cleaning)
– Antibacterial mouthwashes
– Oral antibiotics
– Periodontal surgery
Contact Us Today for Healthy Teeth and Gums
Don’t let gum disease take over your life. Contact our office today to schedule a consultation with Dr. Desai and get started on the path to better oral health.
